Jeżeli zaobserwowałeś pogorszenie estetyki uśmiechu z powodu odsłoniętych korzeni zębów, nadwrażliwość na bodźce termiczne i mechaniczne to recesja dziąseł, czyli ich zanik. Recesje dziąsłowe dotyczą pacjentów starszych jak i młodych.
Unikanie dotykania odsłoniętych, bolących korzeni podczas szczotkowania, powoduje niedokładnie usuwanie płytki bakteryjnej i wzrasta ryzyko pojawienia się próchnicy. Z czasem na skutek zaniku tkanek dziąsła i tkanki kostnej dochodzi do rozchwiania i utraty zębów.
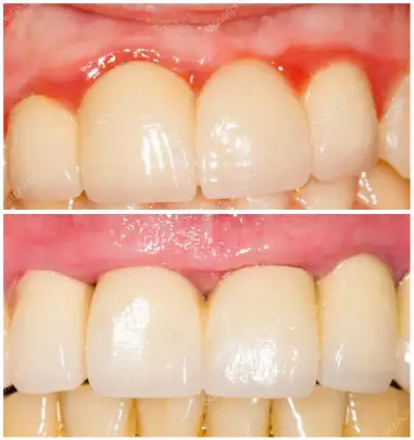
Leczenie recesji dziąseł
Na pierwszej wizycie dokładnie analizujemy i diagnozujemy przyczyny recesji. Zaniki dziąseł mogą być spowodowane przeciążeniami okluzyjnymi, nieprawidłowym ustawieniem zębów, nieodpowiednią - urazową techniką szczotkowania, niewystarczającą higieną jamy ustnej, procesami zapalnymi.
Pamiętajcie, że leczenie recesji jest możliwe z wykorzystaniem technik chirurgicznych.
Leczenie chirurgiczne można wspomóc preparatem Emdogain® Straumann®. Jest to żel, zawierający naturalne białka matrycy szkliwa. Imituje on biologiczny proces embrionalnego rozwoju zęba, wpierając regenerację wszystkich tkanek przyzębia.
Zabiegi w klinice ImplanTom wykonywane są przez specjalistę chirurga periodontologia, który od wielu lat z powodzeniem zajmuje się leczeniem recesji dziąsłowych.
