Licówki w Łodzi to jeden z najpopularniejszych zabiegów w dziedzinie stomatologii estetycznej.
Jeżeli jesteś niezadowolony ze swojego uśmiechu to jednym ze sposobów poprawienia niedoskonałości twojego uzębienia mogą być licówki. Jest to bardzo skuteczna metoda, mało inwazyjna i oszczędzająca tkanki zęba. Licówki są odporne na przebarwienia powstające od napojów i jedzenia, dzięki temu uśmiech może być perfekcyjny przez wiele lat.
Licówki? Co to takiego?
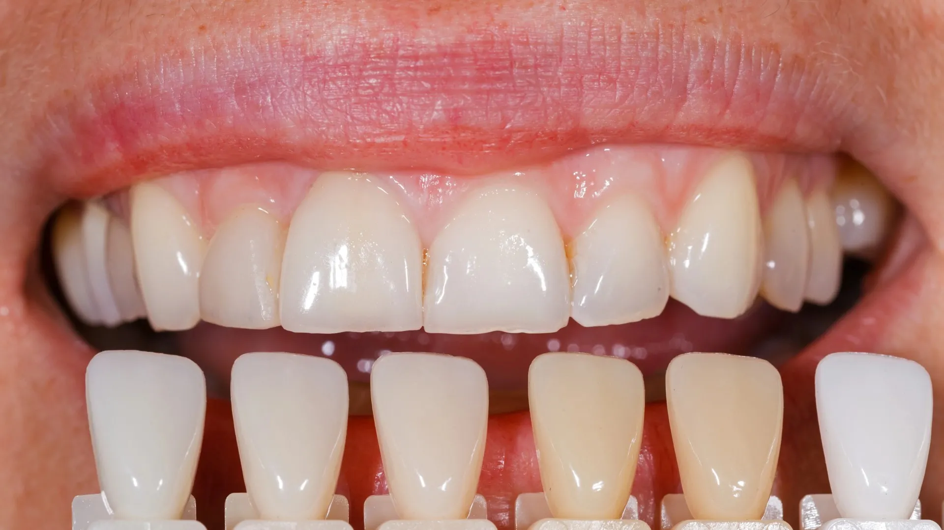
Licówki to bardzo cieniutki porcelanowe nakładki, które pokrywają przednie powierzchnie zębów. Wykonywane są indywidualnie dla każdego pacjenta w laboratorium technicznym. Sposób ich mocowania można porównać do zakładania tipsów na płytkach paznokciowych, choć oczywiście nakładanie licówek jest zabiegiem znacznie poważniejszym. Przed nałożeniem licówek, należy lekko oszlifować zęby, na których zostaną one zamocowane.
W jakich przypadkach stosować licówki?
Licówki stosujemy, kiedy istnieje konieczność poprawy koloru, kształtu czy wielkości zęba lub zamknięcie diastemy.

Jak wygląda zabieg?
Na pierwszej wizycie wykonywane są zdjęcia fotograficzne, pobiera się też wyciski, żeby na modelach przy użyciu wosku zaprojektować kształt przyszłych licówek.
Na drugiej wizycie po akceptacji wyniku wizualizacji przez pacjenta można przystąpić do zabiegu - szlifowana i pobrania wycisków. Lekarz następnie wykonuje licówki tymczasowe z kompozytu, które będą pozwalały pacjentowi zobaczyć kształt i wielkość przyszłych zębów oraz normalnie funkcjonować do następnej wizyty. Na trzeciej wizycie po przymiarce licówek porcelanowych i po zaakceptowaniu ich przez pacjenta przykleja się je do zębów specjalnymi cementami kompozytowym.

Jak przygotować się do zabiegu?
Licówki mocowane są jedynie na zębach bez ubytków próchnicowych, prawidłowo przeleczonych endodontycznie, Żaden odpowiedzialny dentysta nie przeprowadzi zabiegu u osoby, która ma jakiekolwiek choroby zębów lub przyzębia. Najpierw należy przeprowadzić niezbędne leczenie.
Dlaczego warto wybrać licówki w Łodzi?
Wybór miejsca wykonania licówek ma kluczowe znaczenie dla końcowego efektu estetycznego i trwałości leczenia. Decydując się na licówki w Łodzi, pacjenci zyskują możliwość stałego kontaktu z lekarzem prowadzącym oraz leczenia w sprawdzonej, lokalnej klinice stomatologicznej.
Klinika Tomikowscy w Łodzi oferuje indywidualne podejście do każdego przypadku, uwzględniając nie tylko wygląd zębów, ale również proporcje twarzy, zgryz oraz oczekiwania pacjenta. Dzięki doświadczeniu zespołu i nowoczesnemu zapleczu diagnostycznemu możliwe jest precyzyjne zaplanowanie efektu estetycznego jeszcze przed rozpoczęciem leczenia. To szczególnie ważne dla pacjentów, którzy oczekują naturalnego i harmonijnego uśmiechu.
Rodzaje licówek dostępne w Łodzi
W naszej klinice w Łodzi dostępne są różne rozwiązania estetyczne, które pozwalają dopasować licówki do indywidualnych potrzeb pacjenta. Wybór konkretnego rodzaju licówek poprzedzony jest konsultacją oraz analizą stanu uzębienia.
W zależności od oczekiwań estetycznych, budżetu oraz wskazań medycznych, lekarz może zaproponować rozwiązanie zapewniające optymalny efekt wizualny i funkcjonalny. Dzięki temu pacjenci decydujący się na licówki zębowe w Łodzi mają pewność, że zastosowane rozwiązanie będzie dopasowane do ich sytuacji i długofalowych potrzeb.

Jak wygląda zabieg licówek w Tomikowscy – Łódź
Wykonanie licówek w Klinice Tomikowscy w Łodzi odbywa się w zaplanowanym i przewidywalnym procesie, który ma na celu zapewnienie maksymalnego komfortu oraz bezpieczeństwa pacjenta. Każdy etap leczenia jest dokładnie omawiany przed jego rozpoczęciem.
Zabieg realizowany jest z wykorzystaniem nowoczesnych technologii oraz materiałów wysokiej jakości, co pozwala osiągnąć trwały i estetyczny efekt. Pacjenci wykonujący licówki w Łodzi w naszej klinice mogą liczyć na pełną opiekę pozabiegową oraz możliwość kontroli i korekty efektu w razie potrzeby.
Cennik i konsultacje licówek w Łodzi
Koszt wykonania licówek zębowych w Łodzi ustalany jest indywidualnie i zależy od zakresu leczenia oraz wybranego rozwiązania estetycznego. Z tego względu pierwszym krokiem jest konsultacja stomatologiczna, podczas której lekarz ocenia możliwości leczenia i przedstawia szczegółowy plan.
W Klinice Tomikowscy w Łodzi pacjenci otrzymują jasne informacje dotyczące przebiegu leczenia, czasu trwania oraz orientacyjnych kosztów jeszcze przed podjęciem decyzji. Konsultacja pozwala również odpowiedzieć na pytania dotyczące efektów estetycznych, trwałości licówek oraz dalszej pielęgnacji uśmiechu.
